NakeDiagnostics
Reya
Login
NakeDiagnostics
Home
Reya
About
Recruitment
Results
Login
Twitter
Instagram
Drag&Drop files
Or
Upload
Submit
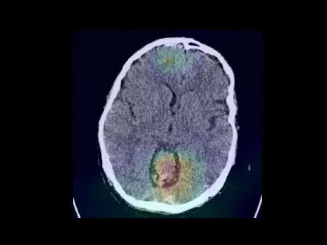
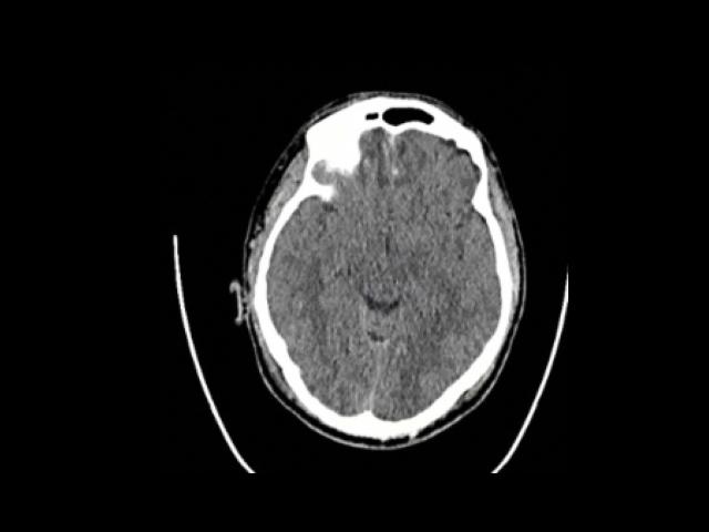
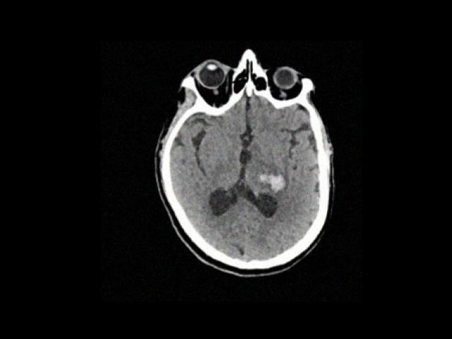
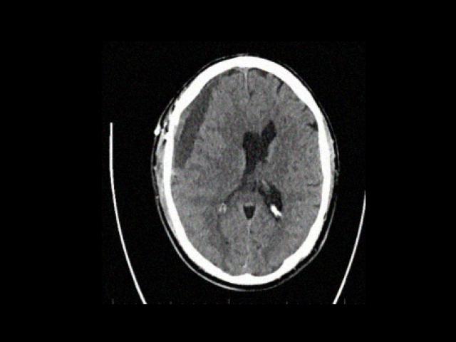
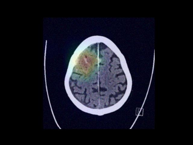
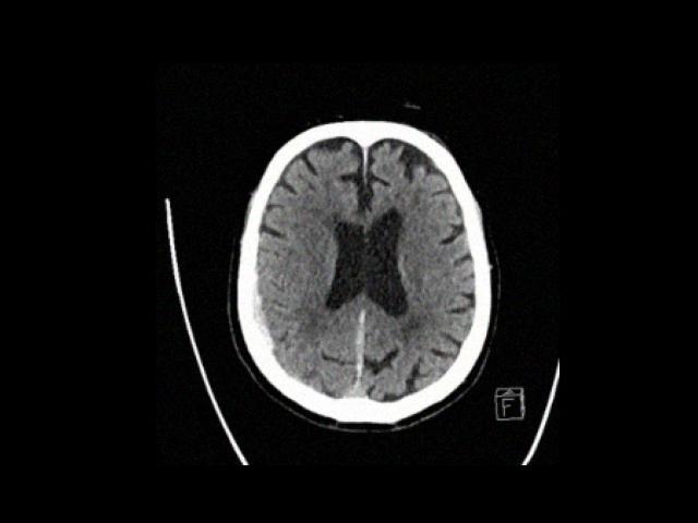
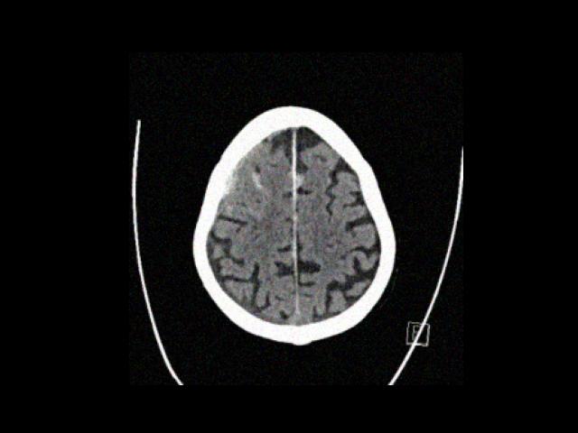
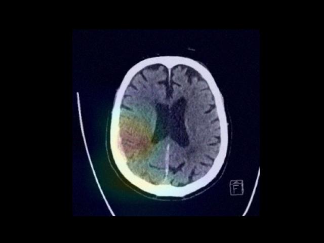
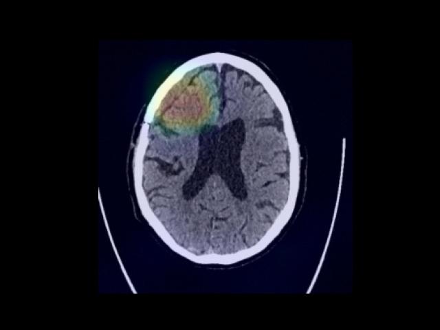
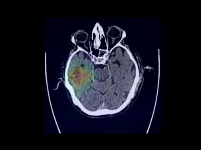
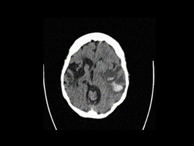
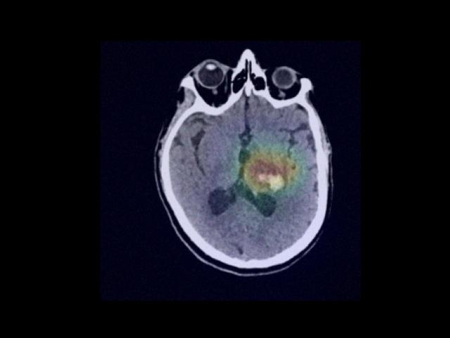
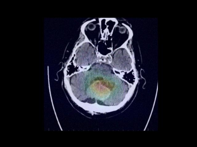
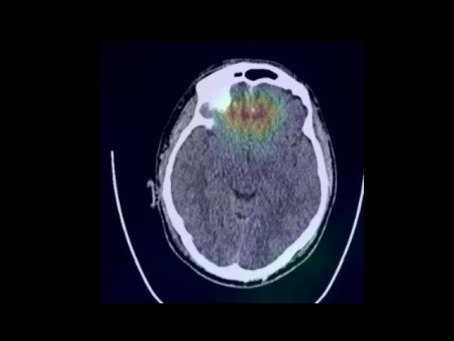
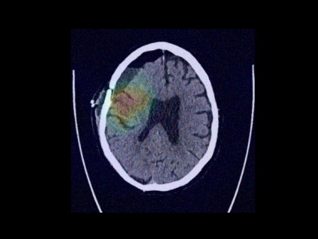
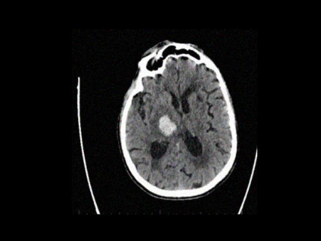
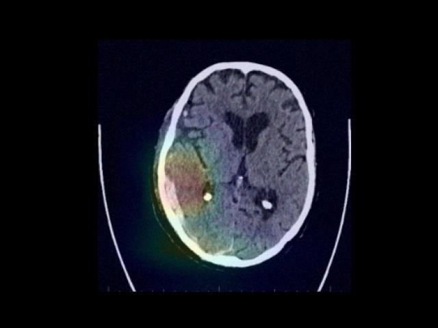
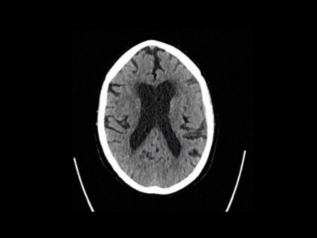
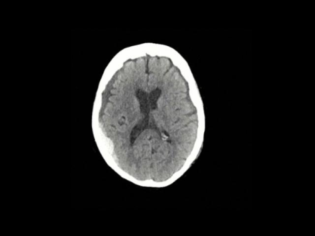
Sample Gallery
© NakeDiagnostics
The woods are lovely, dark and deep